Wednesday, April 29, 2015
When a "shy guy" wants to meet some girls: Look how they react! (Video)
In a video that is circulating on social networks see how a "shy guy", being "followed" by hidden cameras, wants to meet some girls.
And besides the boy you could see the reactions of the girls.
New invention: Robots enable to have sex!
In the near robots can be as human beings, which can embrace or to make sex with them.
Scientists say that in 10-15 years, people may be able to plan their twin soul, the sound right and artificial intelligence.
They will be able to whisper sweet words at the right time.
According to researchers robots will be able to transform sexual relationship, bringing it to a whole new level.
Sexual orientation will be a thing of the past. With robots, people can have sexual experiences without being touched.
This is done by stimulating the brain and serve more people with disabilities. / Newspapers Classifieds /
These are the first women in the world who were sentenced for "Twerking" (Video)
Their dance routine could have practiced in clubs, not before a national monument.
These six girls want to parodies Russian celebrations to honor World War II, chose memorial to those killed in Novorossiysk, to shaking their rear.
But, this is not liked at all by the Russian authorities, who banned girls on charges of hooliganism, reports Telegraph.
To 15 days in prison were convicted three teenagers, while others are released for health issues.
We recall that the girls of the group Pussy Riot, who made a similar dance in a church in Moscow, were held for two years in prison.
Would you accept to play every day with these girls (Photo, + 18)
On the internet are circulating some files which are seen some girls with extravagant clothing. The question there is: Will receive the lion every day with these girls?
.jpg)
.jpg)
.jpg)
.jpg)
.jpg)






New Trend of tattoos (Photo)
A new craze is spreading in the world of tattoos, people are waiting, burn and pierce their skin instead of paint.
This trend is especially popular among fans of body modification.Currently, it is illegal in Britain, but more popular in Canada.
Increasingly Tattoo studio in the world give people the chance to experience traditional ink knife and no. The technique is designed to leave marks on the skin perfectly.
The process looks painful, but many fans say it hurts less than a normal tattoo. However, scratch the skin open wound leaves later, which can lead to infections and disease.
A spokesman for the Ontario Ministry of Health says that such procedures may pose a risk to health, psychological trauma, to hemorrhagic, infections, hepatitis B and C and HIV.
The origin of this practice comes from tribal cultures, where signs indicate the relationship with the tribe, or the gods.



They released the snake from a trap, it gave them a gift! (Video)
Had entered a green wire and two young decided to release from there. Once cut the strings of the net, making efforts with a stick to release the snake.
The mouth of the serpent came a dead frog that had eaten earlier, reports Telegraph.
"It's me, not is oktopod" malachite youth, for almost as long frog own snake had eaten.
Scary experience in laying the catapult (Video)
Throwing the catapult made by hand by a man, can sound very fun, but you must be strong.
The device of casting people from above the bridge, and then they open the parachutes to fall slowly to the ground.
This catapult was built by Jason Bell, in the garage of his home in Virginia of the United States, reports Telegraph.
The working principle is almost the same as the previous catapults, but instead of weight by then, here used compressed air that passes through a piston.
With built catapult, Bell has tried it in his house, and later in a lake, and now is participating in different shows throughout the United States.
A woman lied 7 women on the Internet: They face the misleading (Video)
Seven female student in "Brigham Young University" in Utah are inserted into the same trap by 24-year-old woman who spoke to them, claiming that it is male, writes Daily Mail.
Victims believed they were involved in a relationship with a male Mormon (believer) in the same state.
But were shocked when they learned that dealing with a woman named Kayla and lived in Texas.
All women were invited to show and face had Kayla Dr.Phil n.
"It was hard for me to be Mormon and gay. I had to say "We love you, but not for what you receive." I apologize and I'm sorry girls that I have introduced in my trap. However, it is up to them whether or not accept my forgiveness, "Kayla spoke Dr.Phil.
Some girls have forgiven saying that in other circumstances would be their wife.
The woman spoke for several months and for about a year with these girls, which was filed with the identity of a man named Keagan who studied in Montana,
Incredible Views: Destroyed itself a road in Russia - for just a few seconds! (Video)
If traveling by motorbike, when he stopped because there was the continue.
As seen in the video, way more resembles a polygon for exercise, rather than a place for transition, reports Telegraph.
Learned that groundwater and poor drainage, have eroded the land on time which has caused such damage immediately.
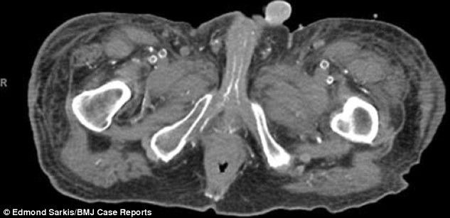
He cut off the upper part of the penis, because it had "died" as a result of blood poisoning
It had to amputate top part of the penis, because he started tarnished and not work as a result of blood poisoning.
54-year-old man was admitted to hospital with gangrenous wounds in the legs, buttocks, thighs and penis.
His wounds, which were black and the side parts were starting to drain, had made the unnamed man have very big pain.
BMJ Case Reports that he had to give strong sedative, in order to calm the situation as soon as his little, reports Telegraph.
Doctors at the hospital in New Yersey Cooper, have decided to amputate the penis, which they considered "dead".
"We saw during these wounds had begun to reek" said Dr. Edmond Sarkis, who was in charge of the team, who did the amputation. / Telegraph /

.jpg)
New American Technology: The bullet changes direction when the target is moving (video)
DARPA, the US agency that does research on weapons, has published a recording which shows the bullet that changes direction when the target is moving, looking the part of the program Exacto (Extreme Accuracy Tasked Ordnance).
The agency says that this new technology is making to help snipers to identify targets more quickly in hostile and remote places like Afghanistan, where winds and dusty terrain can interfere with the accuracy of the collision.
And in this video, showing that the use of these sniper rifles should not be a shock expert. This is because it has been tested by professionals and by those who have used for the first time.
She stole and put under the dress computer equipment witch costed 1400 dollars! (Video)
Accompanied by a man, a woman with long dress under the dress seen introducing some very large box.
With complete silence, she chooses the device packages that wants and places within the dress, and then emerges from the premises as ordinary customers.
Although the woman's face is clearly seen, police in Broward, Florida has not identified, to require assistance to pick up clues, reports Telegraph.
Store that offers computer and accessory, has announced that their shelves missing goods worth one thousand dollars.
Subscribe to:
Comments (Atom)



